Gum Disease Treatment – West Jordan, UT

Creating Healthier Gums for Longer-Lasting Smiles

With gum disease treatment in West Jordan, our team at Salt Lake Smiles can prioritize the health of your soft oral tissues to ensure a longer-lasting smile. In addition to your teeth, your gums require regular maintenance. When bleeding, swelling, and redness occur, it can mean gingivitis has formed. Without timely treatment, the problem can spread, becoming periodontitis, which affects the underlying bone. We want to stop it before it ever reaches that point, so if you need help addressing your bleeding gums, call our office to schedule an appointment.

Why Choose Salt Lake Smiles for Gum Disease Treatment?

  • Dentist in Private Practice for 20+ Years
  • We Welcome All PPO Dental Insurance Plans
  • Safe Dental Sedation Available for Nervous Patients

What is Gum Disease?

Gloved hand pulling down lower lip to expose red gum tissue

Gum disease is an increasingly common oral health problem in the United States. Starting as gingivitis – a reversible form of the disease – it can quickly progress to periodontitis. This occurs when bacteria spread and create gum pockets before eventually reaching the bone. Without proper treatment, the infection can cause tooth loss, bone deterioration, and potentially enter the bloodstream, leading to problems throughout the body (e.g., brain cognition, heart disease).

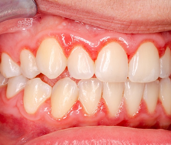
Symptoms of Gum Disease

Up-close view of red and inflamed gum tissue

Millions of Americans who are living with gum disease may be unaware of their symptoms until it’s time to visit their dentist for a checkup. However, it is beneficial to know what to look for so that you get the help you need right away. They include:

  • Gums that bleed, become swollen, and are red
  • Bad breath or halitosis
  • A change in the way your teeth come together (bite issues)
  • Loose permanent teeth
  • Gum recession or teeth that appear much longer

How Do We Treat Gum Disease

Dentist treating patient with gum disease

At Salt Lake Smiles, we treat gum disease with scaling and root planing, which is one of the most reliable dental solutions available. You can learn more about the process below.

Scaling & Root Planing

Illustration of scaling and root planing process

Gum disease is an insidious threat that starts as mild inflammation called gingivitis, but it will develop into its advanced stage called periodontitis if it goes unaddressed for too long. Periodontitis causes permanent damage and must be addressed by a qualified oral health professional such as Dr. Osterhoudt, and scaling and root planing can be an effective way to treat or prevent advanced gum disease. Here’s a brief guide to how scaling and root planing works from the friendly team at Salt Lake Smiles.

Do I Need Scaling & Root Planing?

Lady shows inflamed gum tissue

Gingivitis, the first stage of gum disease, can show itself through symptoms like redness, swelling, and mild gum recession, and it can usually be reversed with improved oral hygiene habits. However, periodontitis must be addressed with professional treatment, and it shows itself through symptoms like:

  • Chronic bad breath
  • Visible accumulations of plaque
  • Swollen or puffy gums
  • Bleeding when brushing or flossing
  • Moderate or severe gum recession.

The Process of Scaling & Root Planing

Digital view of scaling and root planing

Scaling and root planing typically requires two appointments and can be broken down into two stages, those being:

  • Scaling: Osterhoudt will use a device called a scaler to remove plaque and tartar from the surfaces of the teeth as well as the pockets of the gums.
  • Root planing: During this stage, our dentist will remove hardened deposits of bacteria from beneath the gumline and smooth out the roots of the teeth to help them reintegrate with the soft tissues. This helps prevent future infections by keeping bacteria from entering the space between the teeth and the gums.

Aftercare Tips for Scaling & Root Planing

Smiling man drives away

Scaling and root planing can be an intensive process, so your teeth and gums may need a few weeks to completely recover afterward. During this period, you may experience discomfort and sensitivity as a part of the healing process. To keep your recovery smooth and complication-free, we’ll probably instruct you to:

  • Regularly rinse your gums with warm salt water to soothe irritation and flush away food debris.
  • Be gentle when brushing and flossing. Use a soft-bristled toothbrush and clean your teeth using careful, short, circular strokes.
  • Avoid spicy, hot, sweet, and alcoholic foods and beverages as well as items that are crunchy, sticky, or chewy.
  • Refrain from tobacco use.
  • Stick to a soft diet for at least the first 48 hours after treatment.
  • Take a break from intense physical exercise for several days after the procedure.